Family Dentistry. Comprehensive. Compassionate. Conservative.
At Jagor & Jagor, we provide a complete range of dental services, for young and old, in a caring environment that empowers our patients. We invite you to read more about our services.
What is Conservative Dentistry?
Nothing is more important than the health of the patient. Nothing. That belief is at the core of what we call “conservative dentistry.” What it means is that we do not suggest or advocate for non-necessary procedures unless the patient request it and there is little risk involved. It means that if there are two clinically-proven methods for treating a problem, we will always recommend the method that is safer and less invasive.
At Jagor & Jagor, our commitment to practicing conservative dentistry guides so much of what we do and reflects deeply on who we are.
Preventive Care
Our preventative care services are proactive, thorough, and convenient. We keep our patient load small in order to stay on schedule while still being able to spend time with every individual. Each of our hygienist receives continue education in the latest equipment and techniques. They’re all great, but every patient has their favorite.
- Regular Checkups
- Sealants
- Patient Education
- Nutrition Counseling
- Oral Cancer Screening
- Periodontal (gum) Exams and Procedures
General Dentistry
Jagor & Jagor provides the full range of general dentistry services, from state-of-the-art diagnostics to complex procedures. Each of the procedures below are performed either in our office our through our professional referral network.
Periodontal care: This is the area of dentistry that deals primarily with the gums. The periodontal services provided by Jagor & Jagor our through our partner practices include:
- Cosmetic Periodontal Re-Contouring
- Tooth Scaling and Root Planing
- Tissue and Bone Grafting
Endodontic care: Endodontics is anything that involves the inside part of the tooth, also known as the pulp. This area, that includes the root, is where the nerves and blood vessels are located. The most common endodontic procedure performed either by Jagor & Jagor our through our partner practices is root canal therapy. This procedure involves removing the infected pulp from the tooth or root, enabling the rest of the tooth to remain healthy indefinitely.
Orthodontics: This familiar area of dentistry involves alignment of the teeth. By far, the most common orthodontic procedure is aligning the teeth through the use of braces. At Jagor & Jagor, this is done through our referral network. Once we have made the proper diagnosis, we refer you to the orthodontist that best suits your individual needs. The orthodontists within our referral network are among the top practitioners in the region. Among the services we may recommend are:
- Braces
- Ivisalign
- SureSmile
- Retainers
- Orthognathic Surgery
Oral surgery: Oral surgeons, also known as oral and maxillofacial surgeons, are dental specialists trained to treat and diagnose defects, injuries and diseases of the mouth, jaw, teeth, neck, gums and other soft tissues of the head. At Jagor & Jagor, we are equipped to perform more simple surgical cases. We refer the more complex procedures to one of the trusted specialists in our professional network. Some of the more common oral surgery procedures include:
- Wisdom teeth extraction
- Facial trauma repair
- TMJ (temporomandibular joint) disorders
- Implants
- The removal and biopsy of cysts, lesions, and bumps
Cosmetic Procedures
At Jagor & Jagor, every procedure — whether a routine cleaning or something more complex — has a cosmetic component. After all, you want to feel as good as you look. So everything we do must be both cosmetically appealing and technically flawless.
Repair of a Chipped Tooth with a Simple Bonded Composite
Repair of Eroded Enamel with a Simple Bonded Composite Fill
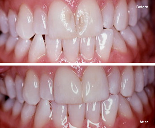
Repair of a Decalcified Area with a Simple Bonded Composite Fill
Closing a Space (Diastema) with a Simple Bonded Composite Fill
Closing a Space (Diastema) with Porcelain Veneers
Tetracycline Stained Teeth Masked with Bonded Composite Veneers
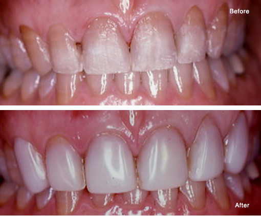
Custom Laboratory Processed Porcelain Veneers
Custom Laboratory Processed Porcelain Veneers
PreviousNext
That being said, there are many procedures that can be performed exclusively for looks. We take great pride in our cosmetic capabilities. What’s more, many of them can be performed much less expensively than you might imagine. These include:
- Simple re-contouring of a tooth’s shape
- Teeth whitening
- Porcelain veneers and crowns
- Dental bonding for color and shape changes
- Periodontal (gum) re-shaping
At Jagor & Jagor, we practice conservative dentistry, which means we will not advocate for a procedure unless we believe a patient needs it. So while we do perform all these cosmetic procedures, we’ll never try to “sell” you something that you don’t truly want or need.